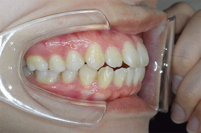
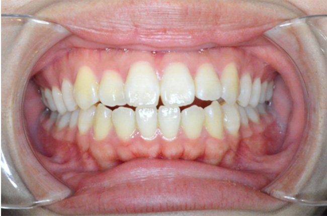
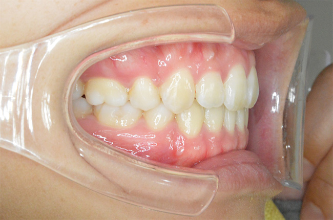
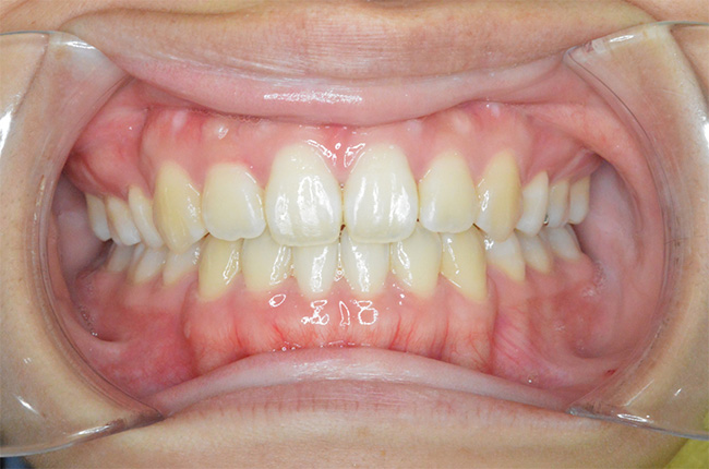
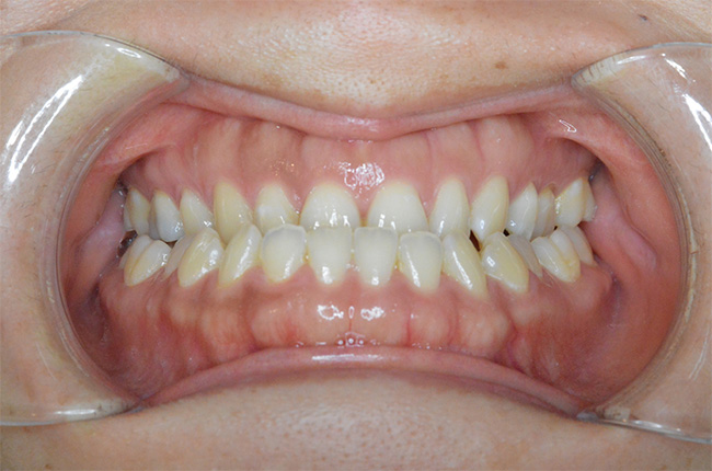
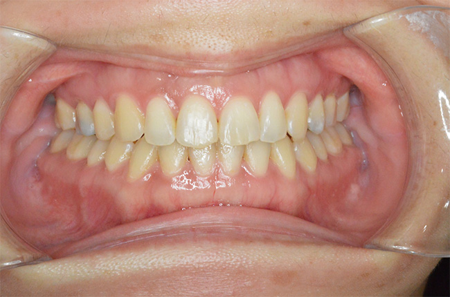
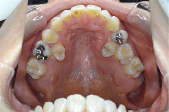
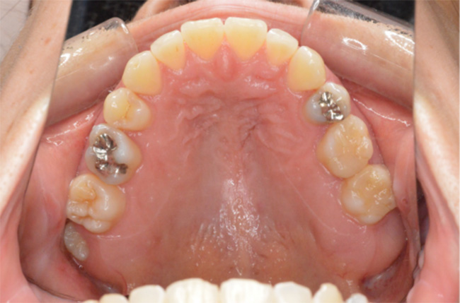
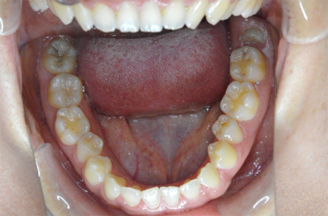
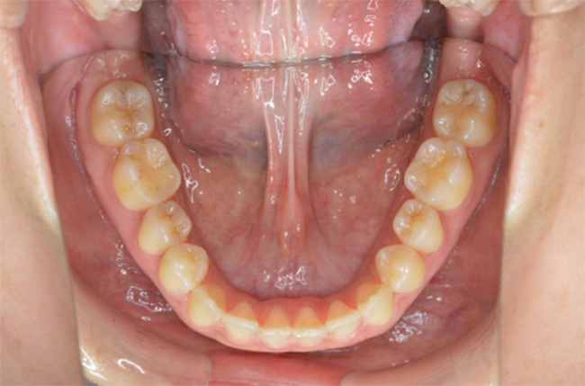
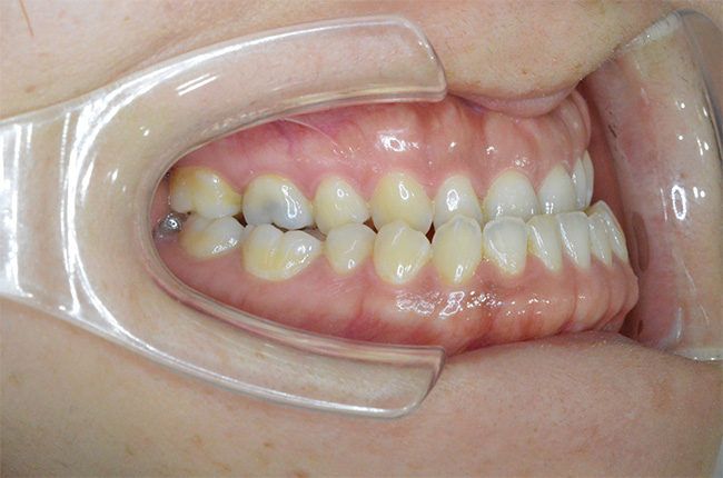
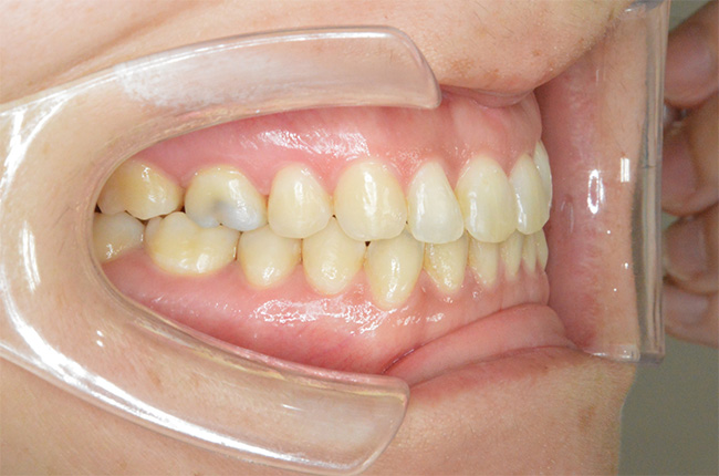
上下顎前突
-
治療開始時
-
治療終了時








| 主訴 | 口元が出ている |
|---|---|
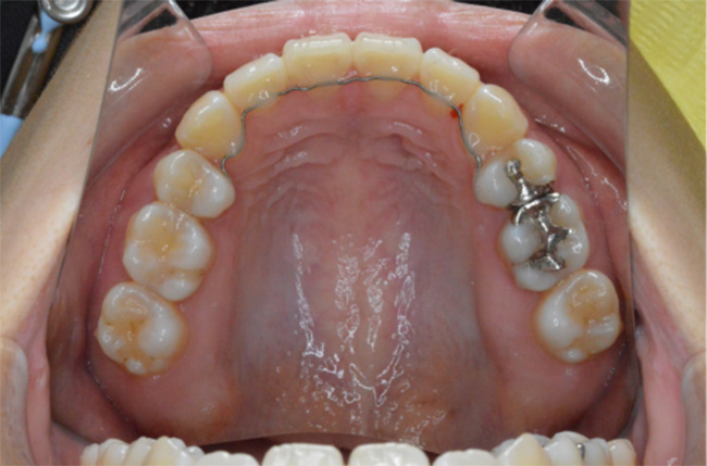
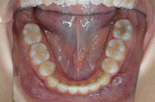
| 治療方法 | 上下顎小臼歯4本抜歯、ワイヤー矯正 |
| 治療内容 | 抜歯のスペースを使用して、上下前歯を後退させた |
| 治療期間 | 2年1ヵ月 |
| 治療費 | 979,000円(矯正装置・調整料・リテーナー・歯科矯正用アンカースクリュー・矯正治療後2年間経過観察料を含む) ※2025年10月以前の料金となります。 |
|---|---|
| 年齢 | 20代 |
| リスク・ 副作用 |
痛み、歯根吸収、歯肉退縮、虫歯、後戻り |








